U današnjem članku pišemo o prirodnim metodama za održavanje oralne higijene i uklanjanje kamenca, koje ne samo da su učinkovite, već i sigurne za zdravlje.
- Svi želimo blistav osmijeh i zdrave, bijele zube, ali mnogi komercijalni proizvodi koje koristimo mogu štetiti našem zdravlju zbog kemikalija koje sadrže. Srećom, postoje prirodne alternative koje mogu postići iste rezultate, bez negativnih nuspojava.
Jedan od najpoznatijih prirodnih sastojaka za njegu zuba je kokosovo ulje. Dovoljno je uzeti malu količinu kokosovog ulja, mućkati ga u ustima ili ga nanijeti na zube nekoliko puta tjedno. Redovitom uporabom, primijetit ćete poboljšanje u bjeloći zuba i smanjenje kamenca. Osim što pomaže u održavanju zdravih zuba, kokosovo ulje je prirodni antibakterijski agent koji pomaže u sprječavanju stvaranja plaka.

Za one koji žele isprobati prirodne vodice za ispiranje usta, evo nekoliko učinkovitih i jednostavnih recepata:
-
Jednostavna vodica s esencijalnim uljima:
-
Potrebni sastojci: nekoliko kapi ulja nane, ulje peperminta, limunovo ulje i ulje anisa.
-
Priprema: Dodajte nekoliko kapi svakog ulja u čašu vode, dobro promiješajte i koristite za ispiranje usta. Ova vodica ne samo da osvježava dah, već pomaže u uklanjanju bakterija i smanjenju kamenca.
-
-
Biljna vodica za usta:
-
Potrebni sastojci: ½ šolje svježeg ruzmarina, 1 šolja svježe metvice, 2 šolje vode.
-
Priprema: Stavite vodu da proključa, dodajte ruzmarin i metvicu, a zatim kuhajte nekoliko minuta. Ostavite da ohladi, procijedite i koristite za ispiranje usta. Ova biljka posjeduje protuupalna i antibakterijska svojstva, koja pomažu u čišćenju usta i održavanju svježeg daha.
-

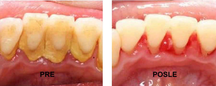
Zašto odabrati prirodne metode? U održavanju oralne higijene nije važno samo imati lijepe zube, već i zaštititi cjelokupno zdravlje. Zubni kamenac, koji nastaje nakupljanjem plaka i minerala iz sline, može uzrokovati ozbiljne probleme poput upale desni (gingivitisa), lošeg zadaha i, u najgorem slučaju, gubitka zuba. Komercijalni proizvodi često sadrže sintetičke kemikalije koje mogu iritirati desni i oštetiti zubnu caklinu, a dugoročno mogu negativno utjecati na naše zdravlje.
S druge strane, prirodni sastojci poput kokosovog ulja, esencijalnih ulja i biljaka poput ruzmarina i metvice ne samo da su učinkoviti u održavanju oralne higijene, već su bogati antibakterijskim i protuupalnim svojstvima koja pomažu u uklanjanju kamenca, smanjenju plaka i održavanju zdravlja desni. Uz to, korištenje prirodnih preparata znači i manji trošak na skupe komercijalne proizvode i stomatološke tretmane.
Također, prirodni sastojci ne zagađuju okoliš, dok mnogi sintetički proizvodi dolaze u pakiranjima koja povećavaju plastični otpad. Korištenjem prirodnih metoda za njegu zuba doprinosite očuvanju ekološke svijesti i smanjujete svoj negativni utjecaj na planetu.

Na kraju, njegovanje oralne higijene prirodnim metodama nije samo briga o zdravlju vaših zuba, već i o zdravlju cijelog organizma. Vaš osmijeh je odraz vaše brige o sebi, i birajući prirodne, sigurne i učinkovite metode, ne samo da ćete postići željene rezultate, već ćete dugoročno pridonijeti očuvanju svog zdravlja. Počnite s malim koracima i zamijenite kemijske proizvode prirodnim receptima — vaši zubi i okoliš će vam biti zahvalni!






