Dan kada se otvaraju nebesa: Veruje se da bosiljak 28. avgusta...
Velika Gospojina je jedan od onih praznika koji se u našem narodu ne doživljava samo kao dan u kalendaru, već kao trenutak duboke duhovne...
3 NAJGORA MUŽA PREMA HOROSKOPU: Jedan nepopravljivi švaler, a drugi beznadežna...
Za mnoge ljude brak je ideal stabilnosti i sigurnosti, ali astrolozi tvrde da horoskopski znaci različito reaguju na tu instituciju. Dok neki u bračnom...
Recept za najbolji vojvođanski gulaš, svi kažu da je mnogo ukusniji...
Malo je jela koja u sebi nose duh tradicije i toplinu doma kao što to čini vojvođanski gulaš. Ovaj specijalitet, poznat po bogatom ukusu...
Ovako izgleda tijelo žene od 65 godina kad se fotografije ne...
Životne priče često nadmaše fikciju, a sudbina Bogoljuba Raljića iz Kneževa (nekadašnjeg Skender Vakufa) već više od šest decenija ostaje obavijena velom misterije. Njegov...
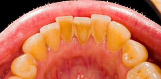
Evo kako sami da skinete kamenac sa zuba. Ove jeftine sastojke...
Zubni kamenac je problem koji mnogi zanemaruju sve dok ne postane ozbiljan. Iako se u početku čini kao estetska smetnja, njegovo nakupljanje može dovesti...
Žena podijelila neobično iskustvo: “Napravila sam pitu i tako saznala da...
Prevara je jedna od najtežih situacija kroz koju jedan odnos može proći. Ona ne donosi samo osećaj izdaje, već često ruši temelje poverenja građenog...
Snimala je svoju kćerku na plaži, ali nije ni slutila šta...
Ljeto je za mnoge sinonim za bezbrižnost – sunce, more i opuštanje na obali. Ipak, priroda nas s vremena na vrijeme podsjeti da ispod...
“Probudila sam se u 3 ujutro…”
Noć je bila mirna i tiha, kada ju je iz sna trgnuo zvuk telefona. Na ekranu su svijetlila dvanaest propuštenih poziva od majke i...
U četvrtak se slavi Velika Gospojina, zaštitnica majki i porodilja: Veruje...
U narodu poznat kao Velika Gospojina, praznik Uspenja Presvete Bogorodice zauzima posebno mjesto u tradiciji i vjerovanju pravoslavnog svijeta. Svake godine 28. avgusta, pravoslavna...
IMATE PROBLEMA SA SPAVANJEM? Uzmite pola žličice i spavat ćete kao...
U savremenom društvu sve veći broj ljudi pati od poremećaja spavanja. San, nekada prirodan i lako dostižan, za mnoge je postao luksuz. Razlog tome...



















